近期,我院放射科應用血管介入技術成功治療了一名下肢深靜脈血栓形成患者。
該患者為老年女性,因突發“左下肢腫脹、疼痛1+天”來到我院普外科就醫,臨床考慮有下肢深靜脈血栓形成,隨即到放射科行下肢深靜脈DSA造影檢查,發現患者左側髂靜脈、股靜脈及腘靜脈內大量新鮮漂浮血栓。

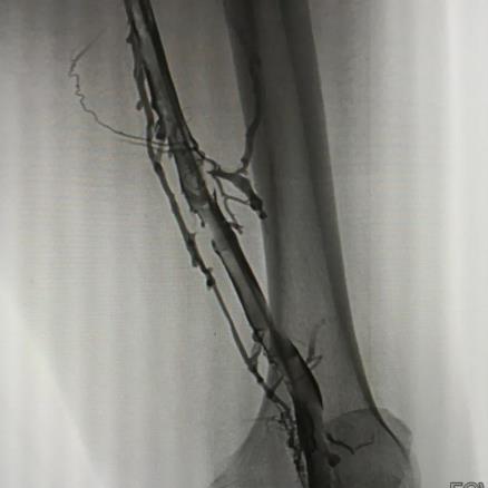
圖解:左側髂靜脈完全堵塞,左下肢回心靜脈血栓全靠側支靜脈代償

圖解:術前造影見左側股靜脈內大量新鮮血栓,呈明顯“雙軌征”
結合患者檢查報告及患者目前自身情況,普外科團隊與放射科團隊進行會診后,決定由放射科以介入的方式給予患者實施下腔靜脈濾器置入+左下肢深靜脈血栓(DVT)吸栓、溶栓術。據主診醫師介紹:該手術是在右側股靜脈穿刺一個米粒大小的入口,然后通過右側股靜脈將一枚濾器放置在下腔靜脈內,以阻攔吸栓、溶栓一系列治療過程中掉落的血栓流入到肺動脈而引起肺動脈栓塞;之后在左側髂靜脈、股靜脈及腘靜脈完全堵塞的情況下,運用獨特的導絲導管技術插入到堵塞的左側髂靜脈、股靜脈及腘靜脈內將血栓搗碎,再運用大腔導管對左側髂靜脈、股靜脈及腘靜脈內的血栓進行抽吸,之后在左側髂靜脈、股靜脈、腘靜脈內埋入溶栓導管對殘留的血栓進行藥物溶栓治療,3天后,左下肢腫脹基本消退,造影復查顯示大部分血栓溶解消失,左下肢深靜脈血流恢復通暢,患者及家屬對手術效果非常滿意。患者康復后于2020年9月27日辦理出院。

術前左側大腿腫脹明顯

術后腫脹消退

圖解:術中安放濾器,防止吸栓、溶栓過程中血栓脫落引起肺栓塞

圖解:術后左側髂靜脈基本恢復通暢,周圍側支基本消失

圖解:吸栓、溶栓術后,左側股靜脈基本恢復通暢
2020年10月28日,對患者術后一月進行回訪復查,未見復發及不適癥狀,患者很感謝醫院予以的及時救治,還說:“年紀大了,經不起折騰了,幸虧來到你們宏仁醫院治療,在你們放射科楊揚醫生的精心治療下,腿腫得那么大都醫好了,不然我可能就“殘廢”了,我真的很開心,也非常非常感謝楊揚醫生。”
楊揚醫生解析:深靜脈血栓形成(DVT)是血液在深靜脈內不正常凝結引起的靜脈回流障礙性疾病,多發生在下肢。DVT的主要原因是靜脈壁損傷、血流緩慢和血液高凝狀態,多見于長期臥床、肢體制動、大手術或創傷后、晚期腫瘤等患者。DVT主要表現為患肢的突然腫脹、疼痛、軟組織張力增高,活動后加重;發病1~2周后,患肢可出現淺靜脈顯露或擴張;嚴重的下肢DVT患者可出現股白腫甚至股青腫,如不及時處理,可發生休克和靜脈性壞疽,靜脈血栓一旦脫落,可隨血流進入并堵塞肺動脈,引起肺栓塞(PE)導致死亡。進入慢性期后則發展成血栓后綜合征(PTS),出現下肢水腫、色素沉著、濕疹、靜脈曲張、潰瘍及脂性硬皮病等,嚴重者顯著影響生活質量甚至導致死亡。因此,下肢深靜脈血栓的及時治療是非常重要的,而血管介入技術正是治療該病的最佳手段,它創傷小,住院時間短,僅需局麻即可,且術中全程無痛感,術后恢復快,一般術后24個小時就可以下床活動。
科室簡介
合川宏仁醫院放射介入中心是我院新興特色科室,中心在合川區內擁有先進設備、配置齊全、人員業務精湛,是區內集醫學影像與臨床治療的綜合性治療平臺。科室現有醫務人員16名,其中主任醫師2名,副主任醫師3名,主治醫師2名,醫師3名,專業技師3名,護士3名。配備有GE公司Optima IGS 330 DSA血管造影機1臺,南京巨鯊DSA高壓注射器1臺,Mindray除顫儀1臺,Mindray心電監護儀1臺,Mindray球囊反搏泵1臺,中心供氧。
中心開展的業務有:DSA血管造影、腫瘤介入治療、急診出血血管腔內介入治療、肺栓塞介入治療、上、下肢血管及腹、盆腔血管腔內介入治療、腹主動脈瘤介入治療、布-加綜合征、TIPPS、產科腹主動脈臨時阻斷、頭頸血管腔內介入治療、冠脈腔內介入治療、心臟起搏器置入、電生理+射頻消融、椎間盤及骨關節痛點介入治療、經皮椎體成形術(PVP、PKP)、食道及腸道支架置入等一系列血管及非血管微創介入治療。
- END -
文 / 殷娟 圖文編輯 / 殷娟
責任編輯 / 殷娟 審核 / 索紅勤 、劉思佳


轉載請注明來源:360常識大全網 http://m.tzbym.cn/